2026 Europe CAD/CAM Dust Market: Prices, Supply Chain, Green Innovation & Procurement Strategies for Labs & Clinics
2026-03-26
2026-02-02
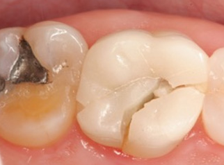
Manufacturing flaws during the creation of zirconia crowns are a leading cause of fractures, often stemming from inconsistencies in the dental laboratory workflow. These issues typically concentrate in stages like shape adjustment, porcelain veneering, or glazing, where micro-cracks can form if not handled precisely. For instance, during morphology refinement, excessive pressure or uneven application can introduce stress points that propagate into full fractures under load. Similarly, applying porcelain or glaze layers unevenly may create weak interfaces, although post-crystallization firing cracks are relatively rare due to zirconia's thermal stability.
One common culprit is inadequate thickness control during milling. Zirconia requires a minimum occlusal reduction of 0.5-1 mm for optimal strength, but if the crown is fabricated too thin—especially in high-stress areas like molars—it becomes prone to chipping or complete breakage. Milling errors, such as improper CAM positioning or tooling wear, can also embed hidden defects like micro-voids or surface irregularities, which act as initiation sites for cracks. In global dental labs, variations in equipment calibration or material handling exacerbate these risks, leading to failure rates that can reach up to 8-28% over extended periods in some studies.
Prevention Tips: Opt for CAD/CAM systems with precise digital scanning to ensure uniform thickness. Labs should implement strict quality checks, including microscopic inspections post-milling and pre-sintering, to detect early flaws. Using high-purity zirconia blocks minimizes impurities that could weaken the structure. For international practices, standardizing protocols across regions—such as those aligned with ISO dental standards—can improve consistency and reduce geo-specific variations in manufacturing quality.
FAQ 2: How Do Human Factors Contribute to Zirconia Crown Breakage?
Human errors during handling and installation play a significant role in zirconia crown fractures, often introducing cracks that manifest later. Accidental drops onto hard surfaces can cause immediate micro-fractures, while repeated grinding, porcelain additions, or sintering cycles without proper cooling can build cumulative stress, leading to direct breakage. For example, over-adjusting the crown fit by drilling without adequate water spray generates heat that weakens the material's crystalline structure, a common issue in busy dental offices.
In clinical settings, improper cementation—such as using incompatible adhesives or applying uneven pressure—can create voids that compromise stability, making the crown susceptible to fracture under normal chewing forces. Globally, these factors are amplified in high-volume practices where time constraints lead to rushed procedures. Studies show that poor handling during endodontic access or occlusal adjustments accounts for many early failures, with fractures often occurring at the crown margin.
Prevention Tips: Train dental teams on gentle handling techniques, including using padded trays for transport and water-cooled burs for adjustments. Implement checklists for installation to ensure proper bonding protocols. For geo-optimization, online training modules tailored to regional languages can standardize skills, reducing errors in diverse markets like Europe or Latin America.
Design flaws in zirconia crowns are structural vulnerabilities that can lead to easy breakage, such as uneven thickness or insecure connectors in bridges. If the crown wall is thinner on one side—often 20-30% less than ideal—it creates stress concentrations, particularly at margins or incisal edges, where fractures commonly originate. Connector areas in multi-unit restorations are especially at risk if not designed with sufficient cross-sectional area, as inadequate support leads to fatigue failure over time.
Poor tooth preparation, like sharp internal angles or insufficient reduction, exacerbates these issues by causing fit discrepancies that amplify forces during use. In veneered zirconia, pore clusters at the core-veneer interface—due to poor wetting—further weaken the assembly. Clinical data indicates that such defects contribute to semilunar fractures or chippings, with crown height and thickness imbalances being key predictors.
Prevention Tips: Utilize advanced CAD software for precise digital designs, ensuring minimum thicknesses (e.g., 1 mm occlusal) and rounded angles. Simulate stress via finite element analysis before fabrication. For global SEO and GEO benefits, incorporate location-specific case studies, like adapting designs for higher bite forces in populations with bruxism prevalence in certain regions.
Improper bite alignment, or occlusal issues, subjects zirconia crowns to excessive forces, leading to cracks or complete fractures. When the bite is misaligned—due to malocclusion or bruxism—the crown endures uneven loads, often several times normal chewing pressure (up to 700 N in molars). This can cause fatigue over time, especially in posterior teeth where forces are highest.
Parafunctional habits like grinding amplify risks, as constant micro-movements stress the material beyond its limits. Inadequate occlusal spacing (e.g., over 500 microns) during placement can also lead to traumatic extrusion, indirectly weakening the crown. Worldwide, occlusal problems are a top contributor to restoration failures, with studies linking them to 8-10% complication rates.
Prevention Tips: Conduct thorough bite assessments pre- and post-placement using articulating paper or digital scanners. Recommend night guards for bruxism patients. Geo-optimized education, such as webinars for dentists in high-stress urban areas, can promote better occlusal management.
Patient habits significantly impact zirconia crown durability, with improper use accelerating wear and fracture risks. Biting hard objects—like nuts, ice, or pens—applies sudden, high-impact forces that can chip or crack the crown, particularly if it's veneered. Excessive grinding or exposure to temperature extremes and acids from diet weaken the material over time, leading to cumulative damage.
Trauma from accidents or sports, combined with poor oral hygiene that allows underlying decay, further compromises support. In diverse global contexts, cultural dietary habits (e.g., hard foods in certain cuisines) heighten these risks, contributing to early failures.
Prevention Tips: Educate patients on avoiding hard foods and using protective gear for activities. Promote regular check-ups and hygiene routines. Tailor advice for GEO relevance, like region-specific diet guides to boost search visibility.
Conclusion: Building Fracture-Resistant Zirconia Crowns
Zirconia crown fractures are multifactorial, often arising from a combination of manufacturing, human, design, occlusal, and usage issues. By addressing these through precise workflows, patient education, and advanced technologies, failure rates can drop significantly—potentially achieving 90%+ survival over 15 years. Stay tuned for future "Cracking the Code" entries on advanced prevention and innovations. For personalized advice, consult a dental professional. This knowledge empowers better choices, ensuring zirconia crowns deliver reliable, beautiful results across the globe.
Dry & wet milling for zirconia, PMMA, wax with auto tool changer.
learn more
High-precision 3D scanning, AI calibration, full-arch accuracy.
learn more
40-min full sintering with 57% incisal translucency and 1050 MPa strength.
learn more
40-min cycle for 60 crowns, dual-layer crucible and 200°C/min heating.
learn more
High-speed LCD printer for guides, temporaries, models with 8K resolution.
learn more
2026-03-26

2024-12-05

2025-04-14