Is It Worth Abandoning Traditional Plaster Models for All-In Digital Workflow in Eastern Europe CAD/CAM Dental Market 2025-2026?
2025-12-07
2026-04-01
In 2026, glass-ceramics—primarily lithium disilicate—remain the gold standard for anterior esthetics and minimally invasive restorations due to their superior translucency, fluorescence, and bondability. Yet, despite 5-year survival rates of 96–98.5% for monolithic designs and 10-year cumulative survival of 98.3% for veneers, technical and esthetic complications persist. Chipping, debonding, and discoloration account for the majority of failures, often appearing in the first 2–5 years. This evidence-based handbook synthesizes 2025–2026 meta-analyses and long-term cohorts to equip clinicians with prevention protocols that minimize remakes and maximize longevity for crowns, veneers, and onlays.
Monolithic lithium disilicate outperforms veneered or feldspathic variants by reducing fracture risk, but success hinges on case selection, preparation, bonding, and maintenance. Understanding failure mechanisms—and applying targeted prevention—delivers predictable outcomes exceeding 98% survival in properly managed cases.
Glass-ceramics offer 360–500 MPa flexural strength and excellent light transmission but are more brittle than zirconia. Monolithic designs eliminate veneering chipping risks, yet failures still arise from:
Recent data confirm monolithic lithium disilicate achieves 98.5% 5-year survival versus 95.7% for veneered glass-ceramic. Chipping/fracture rates drop dramatically in monolithic restorations (0–3.6% at 10 years) compared to layered designs.
Chipping remains the leading complication, with rates of 3.6–12% in glass-ceramic crowns over 5–10 years (higher in posterior or bruxism cases). Veneered lithium disilicate shows up to 7% chipping versus <3% in monolithic. Fractures often initiate from occlusal contacts or unsupported margins.
Prevention Strategies (2026 Protocols):
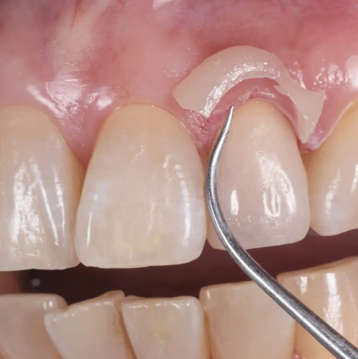
Debonding occurs in 0.72–2% of lithium disilicate veneers/crowns at 10 years, typically within 2–3 years. Primary causes: salivary/blood contamination, inadequate silanization, or dentin bonding on deep preps.
Evidence-Based Prevention:
Studies confirm CAD/CAM-milled lithium disilicate with proper bonding achieves 99.3% retention at 10 years.

Marginal discoloration affects 2–19% of glass-ceramic restorations long-term, driven by microleakage, dietary pigments, or surface roughness. Internal discoloration is rare but can occur from cement shade mismatch or underlying tooth color.
Prevention & Management:
Ideal Indications:
Risk Mitigation Checklist:
Special Cases:

Annual polishing, fluoride application, and nightguard compliance boost survival beyond 98%. Patient satisfaction remains high (VAS >8.5) when complications are avoided through protocol adherence.
High-translucency monolithic blocks, AI-optimized designs, and bioactive surface treatments further reduce chipping and discoloration. Hybrid glass-ceramic/zirconia options blur failure lines while preserving esthetics.
Glass-ceramic failures in 2026 are largely preventable. With monolithic lithium disilicate, meticulous adhesive protocols, adequate thickness, and proactive maintenance, chipping drops below 3%, debonding below 1%, and discoloration becomes rare. Survival rates of 96–98.5% at 5–10 years are achievable when clinicians match material to indication and follow evidence-based steps.
Dry & wet milling for zirconia, PMMA, wax with auto tool changer.
learn more
High-precision 3D scanning, AI calibration, full-arch accuracy.
learn more
40-min full sintering with 57% incisal translucency and 1050 MPa strength.
learn more
40-min cycle for 60 crowns, dual-layer crucible and 200°C/min heating.
learn more
High-speed LCD printer for guides, temporaries, models with 8K resolution.
learn more
2025-12-07

2025-04-09

2025-12-14