From Scan to Sinter: How a Full Digital Workflow Solves Complex Implant Cases in Nordic Dental Practices 2026

2026-04-05

Complex implant cases — multiple-unit bridges, tilted implants, anterior aesthetic zones, and immediate loading — remain among the most demanding procedures in Nordic dentistry. High patient expectations for natural aesthetics, combined with strict regulatory standards and rising labour costs, put pressure on both clinics and dental laboratories.

Traditional analogue workflows often suffer from impression distortion, data loss during transfer, high remake rates (typically 12-18%), and extended treatment timelines that frustrate patients and strain resources.

In 2026, leading Scandinavian practices are adopting a seamless full digital workflow — from intraoral scanning to final sintering — to achieve superior precision, reduce chair time, and improve outcomes.

This guide breaks down each step of an integrated digital solution and shows how it reliably addresses the toughest implant restorations while supporting sustainability goals common in Nordic clinics.

Three Core Challenges in Complex Implant Restorations

  1. Precision demands Accurate implant position, angulation, margin fit, and occlusion are critical. Even small deviations can lead to poor seating, screw loosening, or biological complications.
  2. Aesthetic requirements Anterior cases require lifelike emergence profiles, translucency, and soft-tissue integration. Manual layering struggles to deliver consistent, predictable results.
  3. Efficiency and remake issues Multiple try-ins, adjustments, and remakes extend treatment from weeks to months, increasing costs and patient discomfort while reducing lab throughput.

Digital workflows address these by minimising error accumulation and enabling virtual verification at every stage.

Step 1: Accurate Intraoral Scanning – Building a Reliable Foundation

Intraoral scanners replace messy conventional impressions, eliminating distortion from material shrinkage, bubbles, or patient movement. They capture detailed data of implant platforms, adjacent teeth, opposing dentition, and soft tissues in minutes.

Modern scan bodies allow direct recognition and automatic matching to implant libraries, ensuring seamless data transfer between clinic and lab.

In Nordic settings, where patient comfort and infection control are priorities, digital scanning reduces chair time significantly (studies show reductions of 8+ minutes per case compared to traditional methods) and improves patient experience.

Data can be shared instantly via cloud or secure local networks, enabling real-time collaboration without physical models.

Step 2: Intelligent CAD/CAM Design – Precise Planning and Virtual Validation

Using the scan data, CAD software creates accurate 3D models without pouring physical casts. Design focuses on:

Virtual try-in tools allow clinicians and technicians to check fit, occlusion, and aesthetics before manufacturing. This dramatically reduces physical adjustments and remakes.

Dedicated dental CAD/CAM platforms offer extensive implant libraries, user-friendly interfaces, and direct generation of milling files with minimal data loss.

Step 3: 5-Axis Precision Milling – Perfect Fit in One Setup 

Complex implant structures with undercuts, angulations, and multi-unit bridges require true 5-axis simultaneous machining for access without repositioning.

Single-clamping production of integrated abutment-crown or full bridge frameworks eliminates cumulative errors from multiple setups.

Dry milling technology produces clean, high-surface-quality restorations from zirconia, PMMA, or hybrid materials — no coolant residue means no additional cleaning and reduced risk of material contamination.

Optimised toolpaths for implant restorations deliver sharp margins, minimal chipping, and excellent fit right off the machine, ready for sintering.


Step 4: Controlled Sintering – Achieving Final Strength and Aesthetics

Milled zirconia requires precise high-temperature sintering (typically 1450–1600°C) to reach full density and mechanical strength while controlling 20-25% shrinkage.

Uniform temperature distribution, accurate ramp rates, and stable hold times are essential to prevent warping, cracking, or colour inconsistencies.

Modern sintering furnaces with multi-stage programmable cycles and even heat zones ensure batch-to-batch consistency and high translucency for aesthetic cases.

Once sintered, restorations often need only minimal polishing or glazing before delivery.


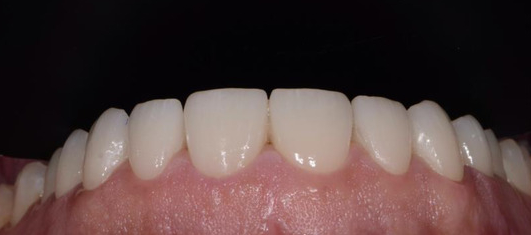
Real Nordic Case Example: Anterior Multi-Unit Implant Restoration

A Copenhagen clinic handled a demanding case involving tilted implants in the maxillary aesthetic zone with high smile-line demands.

Traditional planning estimated longer timelines and higher remake risk due to angulation and soft-tissue challenges.

Using the full digital workflow:

Results:

The team reported smoother collaboration between clinic and lab and greater confidence in handling similar complex cases.


Digital vs Traditional Workflow Comparison

Conclusion: One Integrated Solution for Complex Implant Success

A full digital workflow from scanning through design, 5-axis milling, and controlled sintering provides a closed-loop solution that enhances precision, predictability, and efficiency for even the most challenging implant cases.

For Nordic clinics and laboratories focused on quality, sustainability, and patient-centred care, this integrated approach is becoming the new standard.








Featured products

8PRO All-in-One Milling Machine

Dry & wet milling for zirconia, PMMA, wax with auto tool changer.

learn more

YRC-S03 Intraoral Scanner

High-precision 3D scanning, AI calibration, full-arch accuracy.

learn more

3D Flash Zirconia Block

40-min full sintering with 57% incisal translucency and 1050 MPa strength.

learn more

RS1000 Dental Lab Scanner

Ultra-fast 5-micron accuracy scanner with open STL export.

learn more

YRC-HS007 Rapid Sintering Furnace

40-min cycle for 60 crowns, dual-layer crucible and 200°C/min heating.

learn more

DJ89Plus Dental 3D Printer

High-speed LCD printer for guides, temporaries, models with 8K resolution.

learn more

More to read

Contact us
×
* Required field
Direct Call
+86 18929399126
Thanks
Your info had been submitted.