Inadequate Zirconia Drying: The Hidden Cause of Chipping, Cracking & Marginal Leakage – Root Cause Analysis & Fixes (2026 Guide)
2026-03-13
2026-03-28
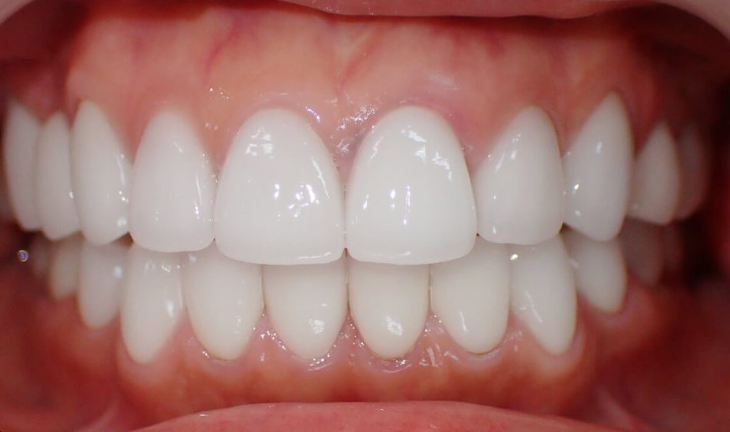
In 2026, restorative dentistry continues to evolve with advanced ceramic materials offering superior biocompatibility, esthetics, and durability. Two leading options—cast porcelain (lithium disilicate glass-ceramics, often referred to as pressed or cast ceramics) and zirconia ceramics—dominate single-tooth and short-span restorations. Dentists face a critical decision: prioritize lifelike translucency or unmatched mechanical strength? This evidence-based guide synthesizes 2025–2026 clinical data to help clinicians select the optimal material based on case-specific factors, improving long-term success and patient satisfaction.
Both materials have transformed all-ceramic restorations, eliminating metal substructures and delivering excellent gingival response. Cast porcelain excels in light transmission, mimicking natural enamel for anterior beauty. Zirconia provides exceptional flexural strength for high-load posterior zones. With survival rates exceeding 84–94% at 5 years, both outperform older options, but nuanced differences guide 2026 case selection.
Understanding intrinsic properties drives informed decisions.
A 2026 meta-analysis confirms: zirconia edges out in survival for posterior/implant cases, while cast porcelain dominates esthetic anterior zones.
Recent retrospective and RCT data affirm high reliability:
Subgroup analysis: Zirconia excels in posterior (93% vs 87%) and implant-supported (93% vs 88%); cast porcelain performs comparably or better anteriorly (91–95%).
Anterior Restorations (Incisors, Canines, Premolars) Prioritize cast porcelain for high-smile-line patients, young adults, or thin biotypes needing natural light transmission. Ideal for veneers, single crowns, or minimal-prep cases. Contraindicated in bruxism or heavy occlusal forces—opt for high-translucency zirconia if masking dark substrates is needed. Prep: 1.0–1.5 mm reduction; adhesive bonding essential.
Posterior Restorations (Molars, High-Load Areas) Zirconia is first-line, especially monolithic high-strength variants for bruxers, implant abutments, or short-span bridges. Handles 200–500 N forces without bulk fracture. Cast porcelain viable for premolars with light occlusion but risks chipping. Prep: 1.0–1.5 mm occlusal; conventional or resin-modified glass ionomer cementation possible.
Special Cases
Cast porcelain requires adhesive protocols (silane + resin cement) for optimal bond strength. Zirconia benefits from MDP primers and sandblasting for reliable retention—monolithic designs simplify cementation.
Maintenance: Both need professional polishing annually. Advise nightguards for bruxers. Survival improves with proper occlusion and hygiene.
Both score high (VAS 8.0–8.6). Cast porcelain wins esthetics (especially anterior); zirconia scores higher in function/durability for posterior. Satisfaction remains >85% at 5 years when material matches indication.
High-translucency multi-layer zirconia (4Y/5Y) narrows the esthetic gap while retaining strength. Graded zirconia and zirconia-reinforced lithium silicates blur lines further. AI-driven case simulation and faster sintering reduce chair time. Expect hybrid materials for complex cases, but core principles—strength for load, translucency for beauty—remain.
In 2026, neither cast porcelain nor zirconia is universally superior. Cast porcelain shines in esthetic anterior zones; zirconia dominates posterior and high-stress scenarios. By aligning material properties with clinical demands—occlusal load, esthetic needs, and patient profile—dentists achieve predictable, long-lasting results exceeding 90% survival. Use digital diagnostics, evidence-based guidelines, and patient-centered discussion for every case. This approach minimizes complications, maximizes satisfaction, and future-proofs your practice.
Dry & wet milling for zirconia, PMMA, wax with auto tool changer.
learn more
High-precision 3D scanning, AI calibration, full-arch accuracy.
learn more
40-min full sintering with 57% incisal translucency and 1050 MPa strength.
learn more
40-min cycle for 60 crowns, dual-layer crucible and 200°C/min heating.
learn more
High-speed LCD printer for guides, temporaries, models with 8K resolution.
learn more
2026-03-13

2025-12-22

2024-10-23