What is Digital Impression Technology? What are the Applications in Restorative Dentistry?
2024-12-09
2025-09-09
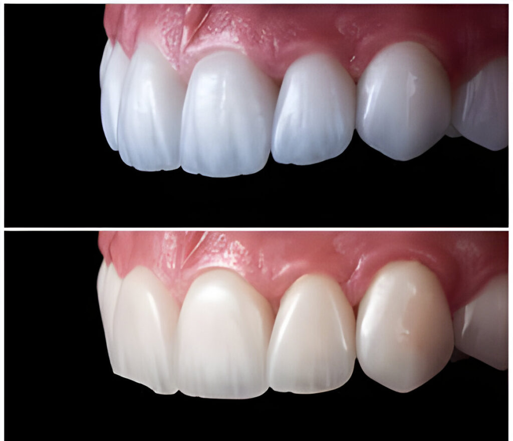
Selecting the right material for dental crowns is critical for labs and clinicians. Lithium disilicate and zirconia each offer unique benefits, but how do they compare in wear resistance and aesthetics?
Lithium disilicate, a glass-ceramic, excels in aesthetics with 27% higher translucency than zirconia, ideal for anterior crowns that demand a natural glow [1]. Its flexural strength of 400 MPa ensures durability, though it may chip in posterior high-load cases if not polished properly [2]. Studies confirm polished lithium disilicate causes minimal wear to opposing enamel [3].
Zirconia, with over 1000 MPa strength, is unmatched for posterior crowns and bridges. Its polished surface reduces abrasion, outperforming older ceramics in tribological tests [4]. New translucent zirconia narrows the aesthetic gap, making it versatile.
Discover our lithium disilicate and zirconia blocks at Yucera for tailored solutions.
Choose lithium disilicate for anterior beauty, zirconia for posterior strength—both elevate patient outcomes.
References
[1] Journal of Esthetic Dentistry, 2023
[2] Dental Materials, 2022
[3] Clinical Oral Investigations, 2024
[4] Tribology International, 2023
Dry & wet milling for zirconia, PMMA, wax with auto tool changer.
learn more
High-precision 3D scanning, AI calibration, full-arch accuracy.
learn more
40-min full sintering with 57% incisal translucency and 1050 MPa strength.
learn more
40-min cycle for 60 crowns, dual-layer crucible and 200°C/min heating.
learn more
High-speed LCD printer for guides, temporaries, models with 8K resolution.
learn more
2024-12-09

2026-02-20

2025-11-08